Dentiste - Lyon 3 - MONCHAT
Dr Lazar R Victor - Dr Campan Robin - Dr Kauny Alexandra - Docteurs en chirurgie dentaire
Accueil
Cabinet
Accès
Urgences
Fiches Conseils
Vidéos
Omnipratique
Soins, hygiène et pathologies
Traitement des gencives
Prothèses dentaires
Implants dentaires
Dentisterie esthétique
Contactez nous
Questionnaire pré-RDV
Accueil
Cabinet
Accès
Urgences
Fiches Conseils
Vidéos
Omnipratique
Soins, hygiène et pathologies
Traitement des gencives
Prothèses dentaires
Implants dentaires
Dentisterie esthétique
Contactez nous
Questionnaire pré-RDV
Dentiste - Lyon 3 - MONCHAT
13 rue Camille
69003
Lyon - Monchat
+33478540131
Dr Lazar R Victor - Dr Campan Robin - Dr Kauny Alexandra - Docteurs en chirurgie dentaire
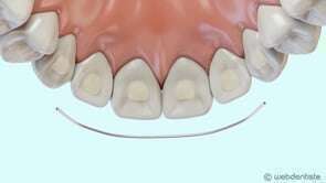
Fil de contention
Vidéos 3D
Partager
Twitter
Partager
Partager
Envoyer
Copier
Dentiste - Lyon 3 - MONCHAT
13 rue Camille
69003
Lyon - Monchat
+33478540131
Liens
Politique de confidentialité et charte cookie
Mentions légales
Conditions Générales Utilisation
Charte déontologique
Ordre national
Annuaires chirurgiens dentistes
Rechercher
Rechercher dans le blog Blog
Création par
Connexion
Vidéo en cours de lecture